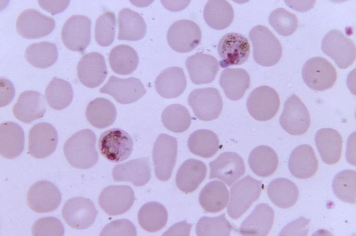
The Florida Department of Health issued a statewide alert after four people in Sarasota contracted malaria in locally transmitted cases, coming a day after the U.S. Centers for Disease Control and Prevention issued a similar notice for Florida and Texas.
“All individuals have been treated and have recovered. Malaria is transmitted through infected mosquitoes,” Florida’s Department of Health stated in a release issued June 27.





