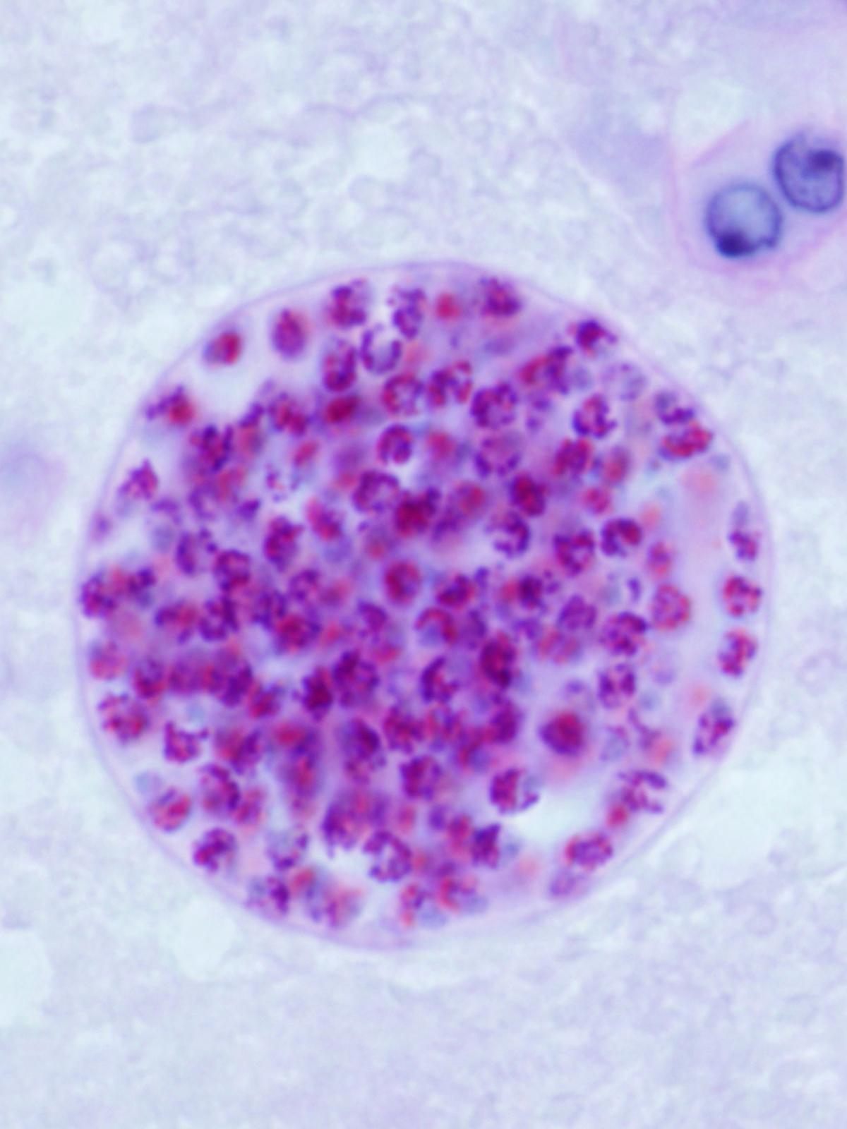
Less than the size of a single human cell, the parasite Toxoplasma gondii currently infects more than 40 million people in the United States every year, according to the Centers for Disease Control and Prevention (CDC).
While the majority of those infected are asymptomatic, the parasite can have deadly consequences for some.











