Dream content has been recorded in a new study from Germany involving lucid dreamers–people who can become aware that they are dreaming and influence their own dreams.
The researchers discovered that brain activity is very similar whether dreaming, visualizing, or actually carrying out a specific action, although brain activity was about half as strong during sleep.
“The main obstacle in studying specific dream content is that spontaneous dream activity cannot be experimentally controlled, as subjects typically cannot perform pre-decided mental actions during sleep,” study researcher Michael Czisch told LiveScience.
“Employing the skill of lucid dreaming can help to overcome these obstacles.”
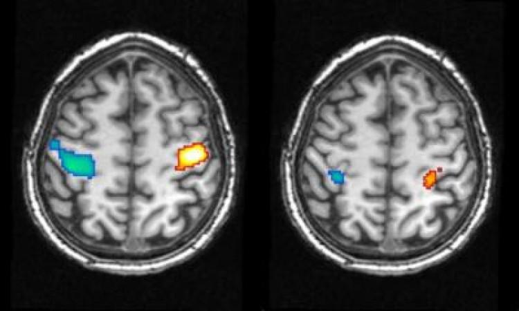
Six lucid dreamers slept in an functional magnetic resonance imaging (fMRI) machine to measure blood flow within their brains. They signaled with their eyes when they were about to start dreaming, and then purposely dreamed that they were clenching their fists, starting with the right fist for the first 10 seconds of their dream and then the left fist.
Further brain scans were taken while the same people clenched their fists when awake, and again while they only imagined clenching their fists.
The team also observed increased activity in a brain region that plays an important role in planning of movements.
“Our dreams are therefore not a ’sleep cinema' in which we merely observe an event passively, but involve activity in the regions of the brain that are relevant to the dream content,” explains research leader Michael Czisch at the Max Planck Institute for Psychiatry in a press release.
The findings were published in the October issue of Current Biology.






