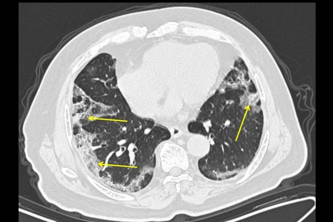
The first U.S. doctors to analyze a COVID-19 coronavirus patients’ lungs said they were able to identify patterns in the lungs as indicators of the disease as it progressed over time.
Doctors at New York City’s Mount Sinai hospital became the first in the nation to use CT scans on patients from China with COVID-19, they said in a statement on Wednesday, publishing their findings in “Radiology.” The new findings could result in a quicker diagnosis in patients who arrive with potential symptoms of the mysterious new virus.





