8. African Army Ants

(Wikimedia Commons)
Army Ants sweep across Africa in droves, devouring any living thing in their way. Their venom turns flesh, muscle, and tendons to liquid.
Usually, they are not harmful to humans, as people can move out of their way. But, those who can’t get out of their way may be killed.
When Kenya was being colonized, for example, people reported human infants were killed by marauding ants.
If you stay perfectly still, the nearly blind ants may pass right over you. But if you move …
7. Fire Ants

(Wikimedia Commons)
Fire Ants have caused about 80 deaths total in the United States and they cost about $5 billion annually to cover medical treatment, damage repair, and control.
6. Bees

“Killer” bee in Florida (Bob Peterson via Wikimedia Commons)
Africanized “killer” bees only kill a small portion of the 40 or so people killed each year by bee attacks.
In 2002, apiculture professor at the University of Delaware College of Agriculture and Natural Resources, wrote that only 11 deaths had been caused by the Africanized bees in the United States since 1990.
Experts at the University of Illinois told CBS News last year that there are about 40 fatal bee attacks every year.
5. Japanese Giant Hornet

(Wikimedia Commons)
The Japanese Giant Hornet (Vespa mandarinia japonica) is about the size of a human adult thumb. It shoots flesh-dissolving poison from its quarter-inch stinger. It kills about 40 people a year.
Masato Ono, an entomologist at Tamagawa University, near Tokyo, has been hit with its venom though he luckily survived. He told National Geographic it was “like a hot nail through my leg.”
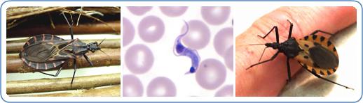
4. Chagas Disease: Kissing Bugs

Kissing bug and the Trypanosoma cruzi parasite (Center). (Centers for Disease Control and Prevention)
As many as 8 million people are infected with Chagas disease, which is spread by the Kissing Bug (Triatomine). The “kiss” is a blood-sucking union.
After the bug sucks a person’s blood, it defecates near the bite. It is when the feces is smeared into the wound that the parasite is transferred to the human body.
The parasites (Trypanosoma cruzi) enter the organs and can cause irreversible damage.
In 2008, 11,000 people died of the disease, according to the World Health Organization (WHO).
It is also called the Assassin Bug.
3. Tse-Tse Flies

(Wikimedia Commons)
Tse Tse flies infect people and animals with the deadly Sleeping sickness (African trypanosomiasis). About 20,000 people die annually of the disease, according to WHO estimates from 1996.
2. Fleas

Flea, Pulex irritans (Shutterstock)
Fleas spread the plague. Flea bites can transfer the bubonic plague and were responsible, along with rats, for its decimating spread in the Middle Ages. The flea spread the plague between rats and also to humans.
WHO explains that humans bitten by infected fleas can develop a bubonic form of plague, which can develop into pneumonic plague if the bacteria reaches the lungs.
“If diagnosed early, bubonic plague can be successfully treated with antibiotics. Pneumonic plague, on the other hand, is one of the most deadly infectious diseases; patients can die 24 hours after infection,” according to WHO.
1. Mosquitoes

Anopheles mosquito (James Gathany/CDC)
Mosquitoes spread malaria. Particularly, female Anopheles mosquitoes spread malaria. WHO estimates that there are 219 million cases of malaria annually and 660,000 deaths.






