The Centers for Disease Control and Prevention (CDC) warned doctors in an update on Thursday that they should be aware of growing outbreaks of the highly fatal Marburg virus in Africa and will start communicating with travelers to the United States to watch for symptoms.
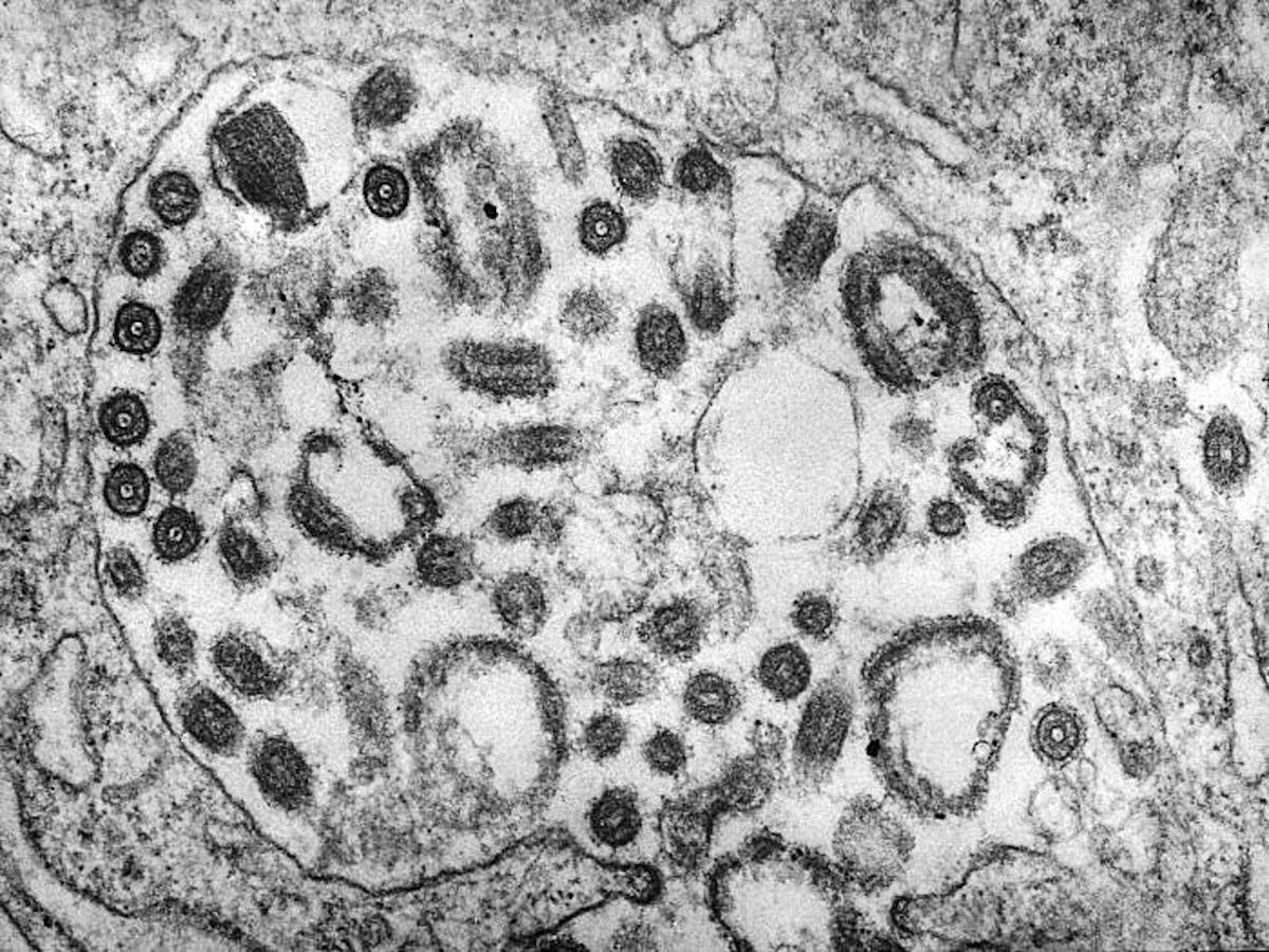
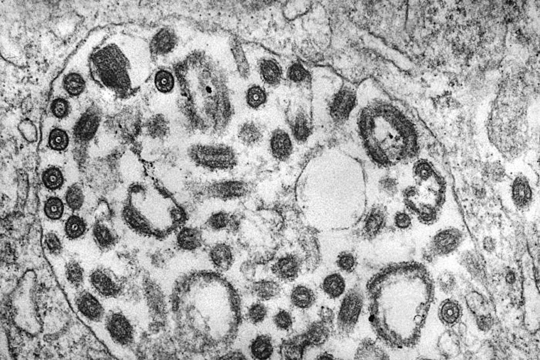
Like Ebola, Marburg virus disease (MVD) is a a rare but severe hemorrhagic fever that affects humans and primates, causing bleeding from the nose, gums, eyes, and other areas. The World Health Organization (WHO) estimates that it has a fatality rate of about 50 percent, with some case fatality rates varying from 24 percent to 88 percent in past outbreaks.





